Thursday, 12, March, 2026

National

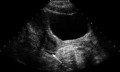
When patients see the phrase Moderate fluid collection in POD meaning on an ultrasound report, it often triggers immediate anxiety. I have seen this many times in clinic. A short technical line in a radiology summary suddenly becomes a late-night Google search and a thousand worst case scenarios. The truth is, in many cases, fluid in the pouch of Douglas can be normal, temporary, or related to a specific but manageable condition.

The Uzbekistan government is violating the human and labor rights of cotton and wheat farmers through a coercive state production system, Human Rights Watch and Uzbek Forum for Human Rights said in a report released today. These abuses continue despite recent agricultural reforms.

The Foreign Minister Bakhtiyor Saidov spoke to his Afghan counterpart Mawlavi Amir Khan Muttaqi over the phone on Saturday. “Had a productive phone conversation with H.E. Mawlawi Amir Khan Muttaqi, Minister of Foreign Affairs of Afghanistan, the Minister Saidov said on his Telegram channel.

The United Kingdom’s Trade Envoy to Azerbaijan and Central Asia, Professor the Lord Alderdice FRCPsych, concluded a multi-day visit to Uzbekistan focused on strengthening economic cooperation and unlocking opportunities in infrastructure, critical minerals, capital markets and education.

Several Russian Telegram channels, followed by major media outlets, reported today the appearance of an "unidentified" Boeing 787 in Russian airspace, departing from Washington, D.C., and proceeding to the border with Kazakhstan.

The bill on income and asset declaring by civil servants has been finalized. The document is currently being prepared for public input, the Director of the Anti-Corruption Agency Akmal Burkhanov announced this at a press conference on February 6.

A car carrying six children with disabilities to Umid Chirogi (Light of Hope) daycare center in Naryn district of Namangan province was involved in an accident on the morning of February 18. The National Agency for Social Protection under the President of Uzbekistan reported the accident.

On the afternoon of February 19, residents of the Namangan province reported of a falling of an unidentified object, which left a bright trail in the sky. This was accompanied by a ground tremor, a loud roar, and smoke.

The Department of State has taken steps to impose visa restrictions on individuals in Uzbekistan identified as knowingly facilitating illegal immigration to our nation.

Uzbekistan is ready to make a fair share of contribution to build residential buildings, kindergartens, schools, and hospitals in the Gaza Strip, stated by President Shavkat Mirziyoyev at the inaugural summit of the Board of Peace in Washington D.C. on Thursday.

The American company Gulf plans to open a network of gas stations in Uzbekistan and invest in the aviation industry, announced the company Vice President, Craig Kramer in Washington D.C. during a meeting between President Shavkat Mirziyoyev and leaders of American businesses and financial institutions on Wednesday.

The 2026 State Program, approved by the president Mirziyoyev on Monday includes an item on modernization of road infrastructure, from building international-standard highways to repairing internal streets in neighborhoods.

During the month of Ramadan, starting February 18, traffic will be restricted daily from 6:00 PM to 12:00 AM on the streets near several mosques in Tashkent due to evening prayers, the Tashkent City Police Department said.

In recent years, Uzbekistan has been steadily expanding its international economic partnerships, with increasing attention toward European markets. Among European Union countries, Estonia stands out as one of the most digitally advanced and business-friendly environments. As economic dialogue and cooperation between Uzbekistan and Estonia continue to develop, more Uzbek entrepreneurs are exploring Estonian company formation as a strategic step toward international growth.

Oppenheimer, a US-based company together with Citibank will act as underwriter in the IPO of Uzbekistan's Centrum Air airline, announced Oppenheimer Managing Director John Tonelli during a meeting between President Shavkat Mirziyoyev and leaders of American business and financial institutions in Washington, D.C. Wednesday.

President Shavkat Mirziyoyev in his remarks at a meeting with American business leaders in Washington Wednesday, declared his readiness to provide full support for their investment projects.

A South Korean court on Thursday sentenced the former president Yoon Suk Yeol to life imprisonment with labour over his failed martial law declaration in December 2024, finding him guilty of leading an insurrection and making him the first elected head of state in the country’s democratic era to receive the maximum custodial sentence.

Uzbekistan and the United States signed an agreement for an investment platform during President Shavkat Mirziyoyev's working visit to Washington on Wednesday. The goal of the investment platform will be systemic promotion of bilateral projects, the Uzbek presidency website reported.

Coach of Navoi-based Kyzylkum football club’s U-19 team was caught redhandedly while he was taking a bribe of 20 million soums, the Uzbekistan Football Association (UFA) reported.

The President Shavkat Mirziyoyev began his official program in the U.S. with a meeting with the US Secretary of Commerce Howard Lutnick.